다산동치과 충치가 재발한다면
.

.
신경치료를 받았던 치아에
다시 통증이 느껴지거나
씹을 때 묵직한 불편감이 있다면
재신경치료가 필요한 상황일 수 있습니다.
.
신경치료를 마친 치아는
통증이 사라졌다고 해서
문제가 완전히 끝난 것은 아닌데요.
.
치아 내부에 세균이 다시 침투하거나
보철물 틈으로 충치가 진행될 경우
재신경치료를 고려해야 하는 경우가 생깁니다.
.
특히 다산동치과 치료 후 시간이 지나
크라운 가장자리에 충치가 생기거나
잇몸이 반복적으로 붓고
해당 부위를 눌렀을 때 불편함이 느껴진다면
단순한 잇몸 문제보다는
치아 내부 염증을 의심해볼 수 있습니다.
.
이처럼 증상이 뚜렷하지 않더라도
미세한 통증이 반복된다면
다산동치과에서 상태 확인이 필요합니다.
.

.
재신경치료는 기존에 충전되어 있던 재료를 제거하고
감염된 조직을 다시 정리한 뒤
내부를 소독하고 밀봉하는 과정으로 진행됩니다.
.
처음 받는 신경치료보다
과정이 까다로운 경우가 많기 때문에
면밀한 진단과 세심한 접근이 중요합니다.
.
또한 치아 뿌리 끝에 염증이 형성된 경우에는
추가적인 처치가 병행될 수 있는데요.
.
이 단계에서 상태를 제대로 관리하지 않으면
통증이 반복되거나 발치까지 이어질 가능성도 있어
조기 점검이 중요합니다.
.
재신경치료 후에는 일시적으로 뻐근함이나
씹을 때의 민감함이 나타날 수 있습니다.
.
이 시기에는 단단한 음식 섭취를 피하고
다산동치과 정기적인 검진을 통해
회복 경과를 확인하는 것이 도움이 됩니다.
.
한 번 치료받은 치아라고 해서
영구적으로 문제가 생기지 않는다고 보기는 어렵습니다.
.
따라서 재신경치료가 필요한 신호를
가볍게 넘기기보다는
다산동치과에서 현재 치아 상태를 확인하고
적절한 시점을 판단하는 과정이
장기적인 구강 건강을 지키는
방법이 될 수 있습니다.
.
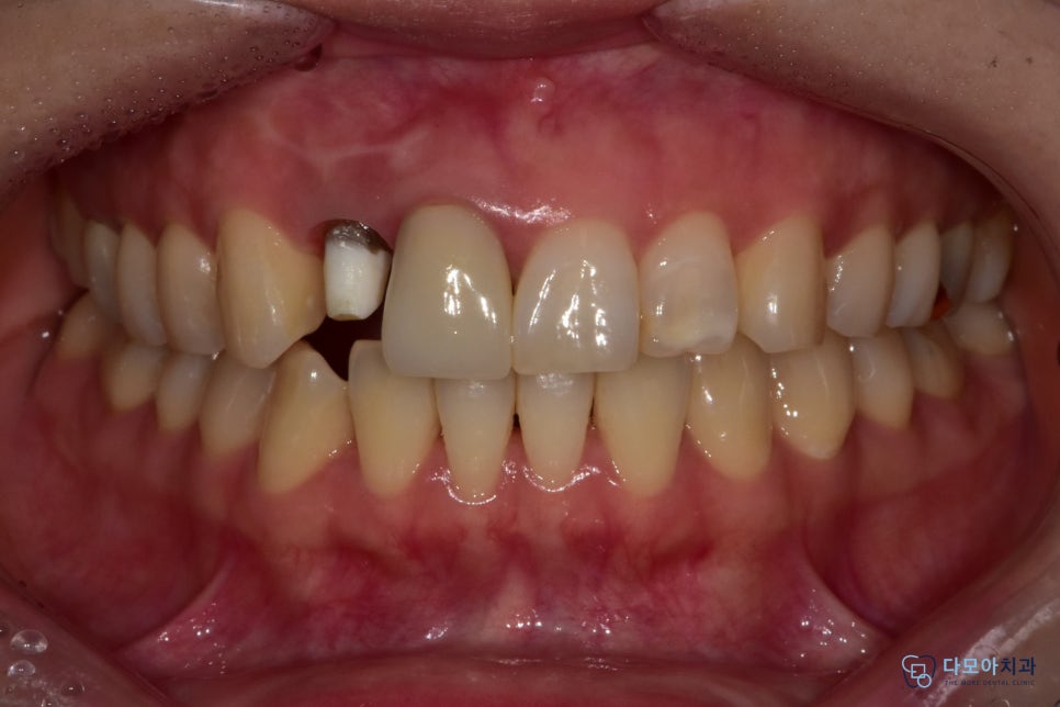
오늘은 충치 재발로 인한 크라운 부러짐으로
저희 병원을 내원해주신 환자분의 사례입니다.
.

.
환자분께서 위 앞니 크라운깨짐으로 인해
저희 다산동치과 다모아치과에 내원해 주셨습니다.
.
원래 충치가 심했던 부위였고,
다른 병원에서 신경치료 후 크라운을 덧씌웠다고 하셨는데요.
.
신경치료 후 크라운을 씌웠던 부위에서
다시 충치가 재발하고,
.
치아 지지가 약해지면서
씌워놓았던 크라운이 치아와 함께 부러져
치아 뿌리만 남은 케이스였습니다.
.
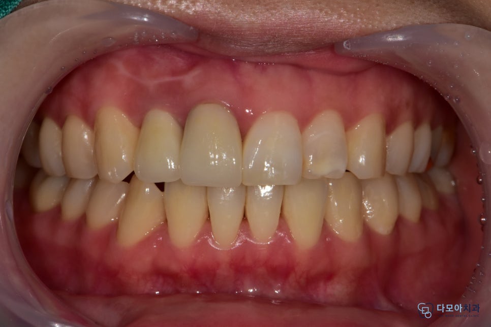
환자분께서 발치보다
치아를 살리기를 바라셔서
재발된 충치를 제거하고
오염된 신경치료 약제 때문에
재신경치료를 진행하기로 했습니다.
.
다산동치과 재신경치료를 할 때는
재발 가능성을 줄이기 위한 치료가 필요합니다.
.

.
그 후 남은 치아 뿌리에
포스트를 설치해서 지지대를 만들어줬습니다.
.
치아 뿌리와 치아머리를 연결하는
철근 구조라고 생각하시면 되는데요.
.
금속 포스트가 아닌 치아와 휨강도가 비슷한
유리섬유 재질의 ‘Fiber post’를 사용했습니다.
.

.
포스트 위에
환자분의 기존 치아 모양과 비슷하게 레진을 올려
치아 모형(코어)을 만들고
크라운을 장착하며 진료를 마쳤습니다.
.
치아가 많이 손상되었던 케이스임에도 불구하고,
발치 없이 치료를 마무리할 수 있었기 때문에
환자분이 굉장히 만족하셨던 치료였습니다.
.
이처럼 다모아치과에서는 언제나 환자의 입장에서 생각하며
충분한 상담을 통한 치료를 합니다.
.
치료 시 발치를 가능한 지양하며
환자분의 기존 치아와 비슷한 색상으로 하고,
교합이 잘 맞을 수 있도록 만들어드립니다.
.

.
다모아치과에는 보건복지부에서 인증받은
치과보철과, 치과보존과, 치과교정과,
구강악안면외과, 통합치의학과 전문의가 상주하고 있습니다.
.
신경치료를 진행할 때는
치과보존과 전문의가 직접 치료하기 때문에
보존치료를 받으실 수 있는데요.
.
만약 재신경치료 치과를 찾고 있으시다면,
더 이상의 재발 방지를 위해
더욱 전문적이고 꼼꼼한 치료가 가능한
다산치과 다모아치과로 내원하시는 것을 추천드립니다.
.
* 모든 증례 사진은 의료법 제23조,
제56조에 의거하여
당사자의 동의하에 게시하였습니다.
.
*치료 사진은 모두 본원에서 치료한
환자분의 사진입니다.
*치료 사진은 모두 동일인의 사진이며,
동일 조건에서 촬영하였습니다.
.
*개인의 차이에 따라 시술 및 수술 후
부작용이 발생할 수 있으며,
의료진과 충분한 상담을 받으시기 바랍니다.