다산동치과 완전매복사랑니 통증이 느껴진다면

겉으로 보이는 치아 변화는 없지만
턱 안쪽이 뻐근하거나
입을 벌릴 때 불편함이 느껴진다면
완전매복사랑니를 의심해볼 수 있습니다.
특히 통증이 간헐적으로 반복되거나
귀 주변, 관자 쪽까지 불편함이 이어진다면
단순한 피로가 아닌 사랑니와 관련된
문제일 가능성도 있는데요.
이처럼 증상이 뚜렷하지 않아 판단이 어려운 경우
다산동치과를 찾아 상태 확인이
필요할 수 있습니다.
완전매복사랑니는 잇몸과 뼈 속에
완전히 묻혀 있는 상태로,
겉으로 드러나지 않아
문제가 없는 것처럼 느껴지기 쉽습니다.
하지만 잇몸 안쪽에서 주변 조직을 압박하거나
염증이 생길 경우 턱 통증이나
묵직한 불편감으로 증상이 나타날 수 있습니다.
이러한 통증은 특정 시기에만
나타났다 사라지기도 해 방치되기 쉬운데,
반복된다면 상태 확인이 필요합니다.
다산동치과에서는 영상 검사를 통해
사랑니 위치와 주변 치아와의 관계를
함께 살펴보게 됩니다.

완전매복사랑니 발치는 사전 검사를 통해
사랑니의 방향과 깊이를
확인하는 단계부터 시작됩니다.
필요에 따라 잇몸 절개나
치아 분할 과정이 포함될 수 있으며,
발치 후에는 붓기나 뻐근함이
며칠간 이어질 수 있습니다.
이 시기에는 무리한 자극을 피하고
안내받은 관리 방법을 지키는 것이 중요합니다.
통증이 반복되거나 점점 심해진다면
다산동치과를 통해 현재 상태를 점검하고
발치 시점을 차분히 결정해보는 것이
하나의 방법이 될 수 있습니다.
실제로 58세로 양쪽에 수평으로 누워있는
완전 매복 사랑니가 있으신 환자분께서
저희 치과를 방문해주셨는데요.
어떻게 발치를 진행했는지
아래에서 자세히 설명드리겠습니다.
.

.
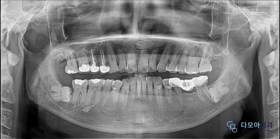
엑스레이를 확인해 보니,
양쪽 모두 사랑니가 수평으로 기울어져 있었으며
완전 매복 사랑니였습니다.
환자분께서는 우측 사랑니가
통증이 있다고 하셨는데요.
(엑스레이 상에서는 왼쪽입니다.)
엑스레이 상에서 하치조신경관 맞닿아 있는것 같아 보여서
3D CT 촬영을 통해,
3차원적으로 위치관계를 분석하였습니다.
.
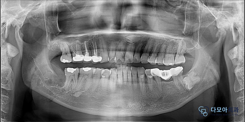
확인해보니, 치근이 하치조신경에 닿아 있었으며
치관(치아머리)도 크고, 치근도 비대해진 상태였습니다.
이 케이스는 난이도가 상당한 사랑니 발치 케이스였지만,
당일 발치를 진행하기로 했습니다.
발치 시 하치조신경을 잘못 건드리면
감각 이상 등 후유증이 발생할 수 있기 때문에
이 부분을 고려하여 조심조심 발치를 진행했답니다.
.

.
사랑니 발치 후 엑스레이 사진입니다.
.
환자분께서는 이럴줄 알았으면
미리 발치를 했을텐데 말씀하시면서,
대학병원에 갈뻔 했다며
잘 뽑아주어 감사하다고 하셨습니다.
사랑니 발치 후 7일간 자극적인 음식, 음주, 흡연,
사우나, 강도 높은 운동은 피해주셔야 합니다.
사랑니 발치 후 주의사항을 지키지 않는다면
회복이 더뎌지기 때문에 꼭 지켜주셔야 합니다.
또한, 통증이 없더라도 처방 받은 약은
끝까지 복용해주셔야 내성이 생기지 않으며,
사랑니 발치 부위 자리가 빨리 아무는데 도움이 됩니다.
.

.
다모아치과에는 보건복지부에서 인증받은
치과보철과, 치과보존과, 치과교정과,
구강악안면외과, 통합치의학과 전문의가 상주하고 있습니다.
고난도 사랑니 발치를 진행할 때는
구강악안면외과 전문의가 직접 발치를 진행합니다.
.
구강악안면외과 전문의란,
전체 치과의사 중 단 4%에 해당하며
사랑니 발치, 임플란트, 턱교정 수술 등
외과적 시술과 수술에 특화된 치과의사를 말합니다.
또한, 다모아치과에서는 수면마취(의식하진정요법)로
사랑니 발치가 가능한데요.
발치에 대한 공포감이 있으신 분들에게
권장드리는 방법입니다.
.
다산동치과 다모아치과는
항상 환자분들의 말씀에 귀 기울이며,
치료 이후 사후관리까지 꼼꼼히 챙기며 진료에 임하겠습니다.
.
* 모든 증례 사진은 의료법 제23조,
제56조에 의거하여
당사자의 동의하에 게시하였습니다.
.
*치료 사진은 모두 본원에서 치료한
환자분의 사진입니다.
*치료 사진은 모두 동일인의 사진이며,
동일 조건에서 촬영하였습니다.
.
*개인의 차이에 따라 시술 및 수술 후
부작용이 발생할 수 있으며,
의료진과 충분한 상담을 받으시기 바랍니다.
.